はりがねの見えない入れ歯は、金属バネをなくし、薄くて軽い入れ歯を実現しました。装着感と見た目の良い入れ歯なので、ストレスのない日常生活をおくることができます。
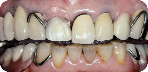
従来の入れ歯
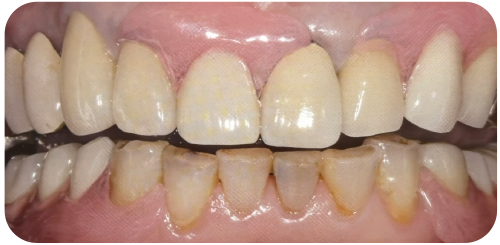
はりがねの見えない入れ歯
はりがねの見えない入れ歯の特徴
薄くて軽い
金属バネを使用していないので審美性がよく、軽く薄く仕上げることができます。発音しやすく装着感が良いため、日常生活でのストレスが軽減されます。
すき間がない
粘膜と義歯の段差も少なく、歯と入れ歯の隙間がほとんどないので、食べ物が詰まりにくく食事が快適です。
お口の状態に合わせて作成可能
樹脂製のアーム(ウイング)で形態を自由に調整できるため、少数歯欠損から多数歯欠損まで様々な形状に対応可能です。お客様のお口の状態に最適な入れ歯をご提案します。
メンテナンス方法
毎日のお手入れは、柔らかい歯ブラシやスポンジ・ガーゼなどで丁寧に洗ってください。洗浄液でのお手入れは、通常の洗浄剤で除菌することをお勧めします。
こんな方におすすめ
- 従来の金属バネが見えるのが気になる方
- 装着感を重視される方
- 見た目の自然さを大切にしたい方
- 快適な食事を楽しみたい方
- 発音に違和感を感じたくない方
ご相談・費用について
はりがねの見えない入れ歯は自由診療となり、患者様のご希望やお口の状態によって治療内容が異なります。 詳しい治療内容や費用についてのご質問、ご不安なことなど、お気軽にお問い合わせください。
